gerne beraten wir Sie
0800 - 188 188 250 gebührenfrei aus Deutschland - 24h
+49 89 210 831 6030 Für Anrufer aus dem Ausland (* Tarif: normale Telefongeb. für einen Anruf nach DE.)
Oder schreiben Sie uns
Kontaktformular

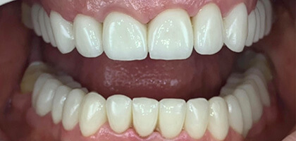
Vorher- & Nachher Bilder von Patienten

Vorher-/Nachherbilder

Hier sehen Sie eine Auswahl an Behandlungsbeispielen, die von unseren Rosenweiss Dental-Zahnärzten und Kieferchirurgen angefertigt wurden:

Vorher
Nachher
Beispiel 1
Beispiel 1
Vorher
Nachher
Beispiel 2
Beispiel 2
Vorher
Nachher
Beispiel 3
Beispiel 3
Vorher
Nachher
Beispiel 4
Beispiel 4
Vorher
Nachher
Beispiel 5
Beispiel 5
Vorher
Nachher
Beispiel 6
Beispiel 6
Vorher
Nachher
Beispiel 7
Beispiel 7